IRDWCHi001-A
General
Cell Line |
|
| hPSCreg name | IRDWCHi001-A |
| Cite as: | IRDWCHi001-A |
| Cell line type | Human induced pluripotent stem cell (hiPSC) |
| Similar lines | No similar lines found. |
| Last update | 9th January 2026 |
| User feedback | |
Provider |
|
| Generator |
Institute of Rare Diseases (IRDWCH)
Contact:
Institute of Rare Diseases (IRDWCH) |
| Owner | Institute of Rare Diseases (IRDWCH) |
External Databases |
|
| BioSamples | SAMEA120251843 |
General Information |
|
| Publications | |
| * Is the cell line readily obtainable for third parties? |
No |
Donor Information
General Donor Information |
|
| Sex | female |
| Ethnicity | Han Chinese |
Phenotype and Disease related information (Donor) |
|
| Diseases | A disease was diagnosed.
|
| Family history | Yes |
Karyotyping (Donor) |
|
| Has the donor karyotype been analysed? |
Unknown
|
Other Genotyping (Donor) |
|
| Is there genome-wide genotyping or functional data available? |
No
|
External Databases (Donor) |
|
| BioSamples | SAMEA120251844 |
Ethics
| Has informed consent been obtained from the donor of the embryo/tissue from which the pluripotent stem cells have been derived? | Yes |
| Was the consent voluntarily given? | Yes |
| Has the donor been informed that participation will not directly influence their personal treatment? | Yes |
| Can you provide us with a copy of the Donor Information Sheet provided to the donor? | Yes |
| Do you (Depositor/Provider) hold the original Donor Consent Form? | Yes |
| Alternatives to consent are available? | No |
| Is there other documentation provided to the donor for consenting purposes? | No |
| Has the donor agreed to be re-contacted? | Yes |
| Please indicate whether the data associated with the donated material has been pseudonymised or anonymised. | anonymised |
| Does consent explicitly allow the derivation of pluripotent stem cells? | Yes |
| * Does consent expressly prevent the derivation of pluripotent stem cells? | No |
| * Does consent pertain to a specific research project? | Yes |
| Details on restriction to research project | Pathogenic mechanisms of novel gene for deafness. |
| Does consent permit unforeseen future research, without further consent? | Yes |
| Does consent prevent CELLS DERIVED FROM THE DONATED BIOSAMPLE from being made available to researchers anywhere in the world? | No |
| How may genetic information associated with the cell line be accessed? | No information |
| Will the donor expect to receive financial benefit, beyond reasonable expenses, in return for donating the biosample? | No |
| Has a favourable opinion been obtained from a research ethics committee, or other ethics review panel, in relation to the Research Protocol including the consent provisions? | Yes |
| Name of accrediting authority involved? | Ethics Committee of West China Hospital, Sichuan University |
| Approval number | 2020-606 |
| For generation of the cell line, who was the supplier of any recombined DNA vectors or commercial kits used? |
hIPSC Derivation
General |
|
| Source cell type |
A sample of peripheral blood mononuclear cells.
Synonyms
|
Reprogramming method |
|
| Vector type | Integrating |
| Vector | Virus (Retrovirus) |
| Genes | |
| Is the used vector excisable? |
Yes |
| Absence of reprogramming vector(s)? |
Yes |
| Reprogramming vectors silenced? |
Yes |
| Methods used |
PCR
|
| Files and images showing reprogramming vector expressed or silenced | |
Vector free reprogramming |
|
Other |
|
| Derived under xeno-free conditions |
Unknown |
| Derived under GMP? |
Unknown |
| Available as clinical grade? |
Unknown |
Culture Conditions
| Medium |
mTeSR™ Plus
|
Characterisation
Analysis of Undifferentiated Cells
| Marker | Present | Absent |
| mCpG | ||
| OCT4 | X |
Report
Differentiation Potency
In vitro spontaneous differentiation
| Marker | Expressed |
| SOX17 |
Yes |
| FOXA2 |
Yes |
In vitro spontaneous differentiation
| Marker | Expressed |
| MIXL1 |
Yes |
| TBXT |
Yes |
In vitro spontaneous differentiation
| Marker | Expressed |
| POU3F2 |
Yes |
| HOXA3 |
Yes |
Genotyping
Karyotyping (Cell Line) |
|
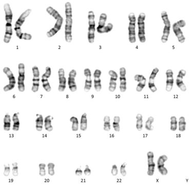
| Has the cell line karyotype been analysed? |
Yes
46,XX
|
Other Genotyping (Cell Line) |
|


Login to share your feedback, experiences or results with the research community.