The cell line is not validated yet.
MURAi007-A
General
Cell Line |
|
| hPSCreg name | MURAi007-A |
| Cite as: | MURAi007-A |
| Cell line type | Human induced pluripotent stem cell (hiPSC) |
| Similar lines | No similar lines found. |
| Last update | 30th March 2026 |
| User feedback | |
Provider |
|
| Generator | Faculty of Medicine Ramathibodi Hospital (MURA) |
| Owner | Faculty of Medicine Ramathibodi Hospital (MURA) |
| Distributors | |
| Derivation country | Thailand |
External Databases |
|
| BioSamples | SAMEA120251847 |
General Information |
|
| Publications | |
| * Is the cell line readily obtainable for third parties? |
No |
Donor Information
General Donor Information |
|
| Sex | male |
| Ethnicity | Thai |
Phenotype and Disease related information (Donor) |
|
| Diseases | A disease was diagnosed.
|
Karyotyping (Donor) |
|
| Has the donor karyotype been analysed? |
No
|
Other Genotyping (Donor) |
|
| Is there genome-wide genotyping or functional data available? |
No
|
External Databases (Donor) |
|
| BioSamples | SAMEA120251848 |
Ethics
| Has informed consent been obtained from the donor of the embryo/tissue from which the pluripotent stem cells have been derived? | Yes |
| Was the consent voluntarily given? | Yes |
| Has the donor been informed that participation will not directly influence their personal treatment? | Yes |
| Can you provide us with a copy of the Donor Information Sheet provided to the donor? | Yes |
| Do you (Depositor/Provider) hold the original Donor Consent Form? | Yes |
| Alternatives to consent are available? | No |
| Please indicate whether the data associated with the donated material has been pseudonymised or anonymised. | pseudonymised |
| Does consent explicitly allow the derivation of pluripotent stem cells? | Yes |
| * Does consent expressly prevent the derivation of pluripotent stem cells? | No |
| * Does consent pertain to a specific research project? | Yes |
| Details on restriction to research project | |
| Does consent prevent CELLS DERIVED FROM THE DONATED BIOSAMPLE from being made available to researchers anywhere in the world? | Yes |
Does consent permit research by | |
| an academic institution? | Yes |
| a public organisation? | No |
| a non-profit company? | No |
| a for-profit corporation? | No |
| How may genetic information associated with the cell line be accessed? | Controlled Access |
| Will the donor expect to receive financial benefit, beyond reasonable expenses, in return for donating the biosample? | Yes |
| Has a favourable opinion been obtained from a research ethics committee, or other ethics review panel, in relation to the Research Protocol including the consent provisions? | Yes |
| Name of accrediting authority involved? | Ethics Committee on Human Right Related to Research Involving Human Subjects, Faculty of Medicine Ramathibodi Hospital, Mahidol University,Thailand |
| Approval number | MURA2024/467 |
| Has a favourable opinion been obtained from a research ethics committee, or other ethics review panel, in relation to the PROPOSED PROJECT, involving use of donated embryo/tissue or derived cells? | Yes |
| Name of accrediting authority involved? | Ethics Committee on Human Right Related to Research Involving Human Subjects, Faculty of Medicine Ramathibodi Hospital, Mahidol University,Thailand |
| Approval number | MURA2024/467 |
| Do you have obligations to third parties in regard to the use of the cell line? | No |
| For generation of the cell line, who was the supplier of any recombined DNA vectors or commercial kits used? | |
hIPSC Derivation
General |
|
| Source cell type |
Blood stem cells found in the circulation after being stimulated to leave the bone marrow, usually by treatment with a cytokine or other drug.
Synonyms
|
Reprogramming method |
|
| Vector type | Non-integrating |
| Vector | Sendai virus |
| Is reprogramming vector detectable? |
No |
| Methods used |
PCR
|
Vector free reprogramming |
|
| Type of used vector free reprogramming factor(s) |
mRNA
|
Other |
|
| Selection criteria for clones | marker expression, morphology |
| Derived under xeno-free conditions |
No |
| Derived under GMP? |
No |
| Available as clinical grade? |
No |
Culture Conditions
| Surface coating | Matrigel/Geltrex |
| Feeder cells |
No |
| Passage method | Non-enzymatic EDTA-based dissociation |
| O2 Concentration | 5 % |
| CO2 Concentration | 5 % |
| Medium | mTeSR™ Plus |
| Has Rock inhibitor (Y27632) been used at passage previously with this cell line? | Yes |
| Has Rock inhibitor (Y27632) been used at cryo previously with this cell line? | No |
| Has Rock inhibitor (Y27632) been used at thaw previously with this cell line? | Yes |
Characterisation
Analysis of Undifferentiated Cells
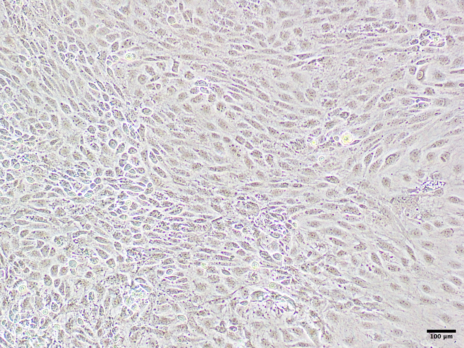
Morphology pictures
Differentiation Potency
In vitro directed differentiation
Protocol or reference
In vitro directed differentiation
Protocol or reference
In vitro directed differentiation
Protocol or reference
Microbiology / Virus Screening |
|
| Mycoplasma | Negative |
Genotyping
Karyotyping (Cell Line) |
|
| Has the cell line karyotype been analysed? |
Yes
|
Other Genotyping (Cell Line) |
|




Login to share your feedback, experiences or results with the research community.