BFVSBi008-A
General
Cell Line |
|
| hPSCreg name | BFVSBi008-A |
| Cite as: | BFVSBi008-A |
| Cell line type | Human induced pluripotent stem cell (hiPSC) |
| Similar lines |
BBANTWi008-A (iPSC_PBMC_LDS_SMAD3_T1_C11) Donor's gene variants: SMAD3 Donor diseases: Loeys-Dietz syndrome 3 |
| Last update | 22nd November 2025 |
| User feedback | |
Provider |
|
| Generator | Baszucki Family Vascular Surgery Biobank (BFVSB) |
External Databases |
|
| BioSamples | SAMEA120560440 |
General Information |
|
| * Is the cell line readily obtainable for third parties? |
Yes Research use: allowed
Clinical use: not allowed
Commercial use: not allowed
|
Donor Information
General Donor Information |
|
| Sex | male |
| Ethnicity | White |
Phenotype and Disease related information (Donor) |
|
| Diseases | A disease was diagnosed.
|
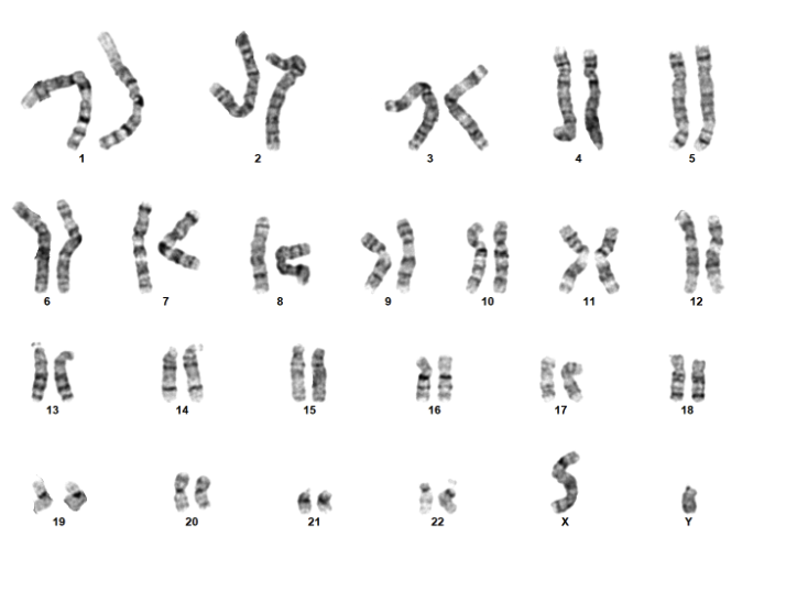
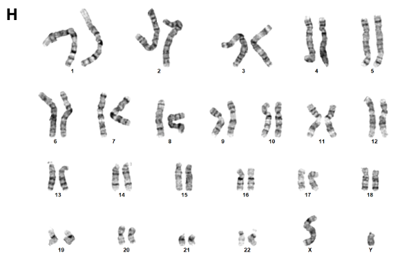
Karyotyping (Donor) |
|
| Has the donor karyotype been analysed? |
Yes
|
External Databases (Donor) |
|
| BioSamples | SAMEA120526623 |
Ethics
| Has informed consent been obtained from the donor of the embryo/tissue from which the pluripotent stem cells have been derived? | Yes |
| Was the consent voluntarily given? | Yes |
| Has the donor been informed that participation will not directly influence their personal treatment? | Yes |
| Can you provide us with a copy of the Donor Information Sheet provided to the donor? | No |
| Do you (Depositor/Provider) hold the original Donor Consent Form? | Yes |
| Alternatives to consent are available? | No |
| Confirm that consent was obtained by a qualified professional | Yes |
| Please indicate whether the data associated with the donated material has been pseudonymised or anonymised. | pseudonymised |
| Does consent explicitly allow the derivation of pluripotent stem cells? | Yes |
| Does consent prevent CELLS DERIVED FROM THE DONATED BIOSAMPLE from being made available to researchers anywhere in the world? | Yes |
| How may genetic information associated with the cell line be accessed? | Controlled Access |
| Will the donor expect to receive financial benefit, beyond reasonable expenses, in return for donating the biosample? | No |
| Has a favourable opinion been obtained from a research ethics committee, or other ethics review panel, in relation to the Research Protocol including the consent provisions? | Yes |
| Name of accrediting authority involved? | Administrative Panel on Human Subjects Research |
| Approval number | IRB #62122 |
| For generation of the cell line, who was the supplier of any recombined DNA vectors or commercial kits used? |
hIPSC Derivation
General |
|
| Source cell line name |
PBMC Derived from same source line (potentially other lot and donor, see below):
|
| Source cell type |
A peripheral blood cell with a single nucleus. This category includes lymphocytes and monocytes.
Synonyms
|
| Source cell origin |
1: The fluid that circulates in the heart, arteries, capillaries, and veins of a vertebrate animal carrying nourishment and oxygen to and bringing away waste products from all parts of the body. 2: A comparable fluid of an invertebrate.
Synonyms
|
Reprogramming method |
|
| Vector type | Non-integrating |
| Vector | Sendai virus |
| Is reprogramming vector detectable? |
No |
| Methods used |
RT-PCR
|
Vector free reprogramming |
|
Other |
|
| Derived under xeno-free conditions |
Unknown |
| Derived under GMP? |
Unknown |
| Available as clinical grade? |
Unknown |
Culture Conditions
| Surface coating | Matrigel/Geltrex |
| Feeder cells |
No |
| Passage method |
Enzymatically
TrypLE
|
| Medium |
Essential 8™
|
| Has Rock inhibitor (Y27632) been used at passage previously with this cell line? | Yes |
Characterisation
Analysis of Undifferentiated Cells
Differentiation Potency
In vitro directed differentiation
In vitro directed differentiation
| Marker | Expressed |
| OTX2 |
Yes |
| PAX6 |
Yes |
Microbiology / Virus Screening |
|
| Mycoplasma | Negative |
Genotyping
Karyotyping (Cell Line) |
|
| Has the cell line karyotype been analysed? |
Yes
|
Other Genotyping (Cell Line) |
|






Login to share your feedback, experiences or results with the research community.