HZSMHCi004-A
General
Cell Line |
|
| hPSCreg name | HZSMHCi004-A |
| Cite as: | HZSMHCi004-A |
| Cell line type | Human induced pluripotent stem cell (hiPSC) |
| Similar lines | No similar lines found. |
| Last update | 5th November 2025 |
| User feedback | |
Provider |
|
| Generator | Hangzhou Seventh People’s Hospital Mental Health Center, Zhejiang University School of Medicine (HZSMHC) |
External Databases |
|
| BioSamples | SAMEA120357600 |
General Information |
|
| * Is the cell line readily obtainable for third parties? |
No |
Donor Information
General Donor Information |
|
| Sex | female |
Phenotype and Disease related information (Donor) |
|
| Diseases | A disease was diagnosed.
|
Karyotyping (Donor) |
|
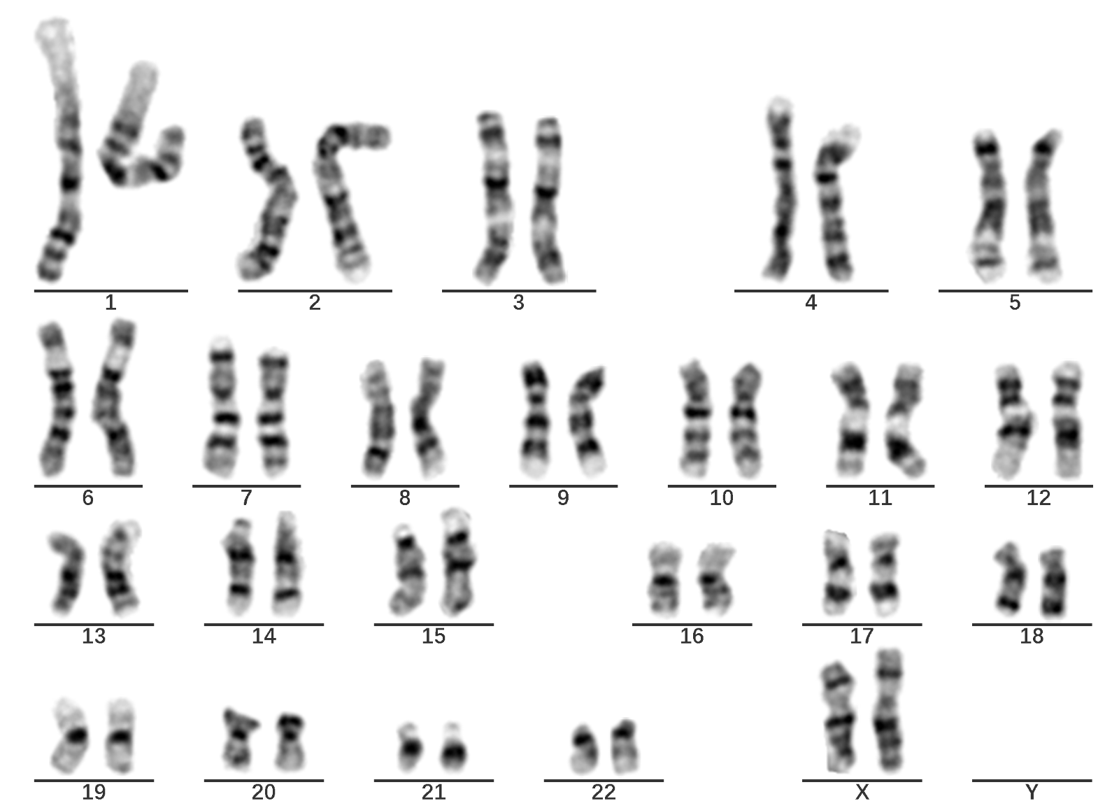
| Has the donor karyotype been analysed? |
Yes
46,XX
|
External Databases (Donor) |
|
| BioSamples | SAMEA120357601 |
Ethics
| Has informed consent been obtained from the donor of the embryo/tissue from which the pluripotent stem cells have been derived? | Yes |
| Was the consent voluntarily given? | Yes |
| Has the donor been informed that participation will not directly influence their personal treatment? | Yes |
| Can you provide us with a copy of the Donor Information Sheet provided to the donor? | No |
| Do you (Depositor/Provider) hold the original Donor Consent Form? | Yes |
| Please indicate whether the data associated with the donated material has been pseudonymised or anonymised. | pseudonymised |
| Does consent explicitly allow the derivation of pluripotent stem cells? | Yes |
| * Does consent expressly prevent the derivation of pluripotent stem cells? | No |
| * Does consent pertain to a specific research project? | No |
| Does consent permit unforeseen future research, without further consent? | Yes |
| Does consent prevent CELLS DERIVED FROM THE DONATED BIOSAMPLE from being made available to researchers anywhere in the world? | Yes |
| How may genetic information associated with the cell line be accessed? | Controlled Access |
| Will the donor expect to receive financial benefit, beyond reasonable expenses, in return for donating the biosample? | No |
| Has a favourable opinion been obtained from a research ethics committee, or other ethics review panel, in relation to the Research Protocol including the consent provisions? | Yes |
| Name of accrediting authority involved? | Hangzhou Seventh People's Hospital Ethics Committee |
| Approval number | No. 2024 (034) |
| For generation of the cell line, who was the supplier of any recombined DNA vectors or commercial kits used? |
hIPSC Derivation
General |
|
| Source cell type |
A sample of peripheral blood mononuclear cells.
Synonyms
|
Reprogramming method |
|
| Vector type | Non-integrating |
| Vector | Episomal |
| Genes | |
| Is reprogramming vector detectable? |
No |
| Methods used |
RT-PCR
|
| Notes on reprogramming vector detection | We conducted exogenous gene vector residual detection and generated a standard curve. Residual levels below 0.1 copies were considered undetectable. Three clones were tested for each cell line, all of which showed no residuals. |
| Vector map | |
Vector free reprogramming |
|
Other |
|
| Derived under xeno-free conditions |
Unknown |
| Derived under GMP? |
Unknown |
| Available as clinical grade? |
Unknown |
Culture Conditions
| Medium |
Essential 8™
|
| Has Rock inhibitor (Y27632) been used at passage previously with this cell line? | Yes |
| Has Rock inhibitor (Y27632) been used at cryo previously with this cell line? | No |
| Has Rock inhibitor (Y27632) been used at thaw previously with this cell line? | Yes |
Characterisation
Analysis of Undifferentiated Cells
| Marker | Expressed | Immunostaining | RT-PCR | Flow Cytometry | Enzymatic Assay | Expression Profiles |
| NANOG |
Yes |
|||||
| SSEA-4 |
Yes |
|
|
|||
| TRA 1-60 |
Yes |
|
||||
| TRA 1-81 |
Yes |
|
|
|||
| POU5F1 (OCT-4) |
Yes |
|
|
Differentiation Potency
Microbiology / Virus Screening |
|
| HIV 1 | Negative |
| HIV 2 | Negative |
| Hepatitis B | Negative |
| Hepatitis C | Negative |
| Mycoplasma | Negative |
Genotyping
Karyotyping (Cell Line) |
|
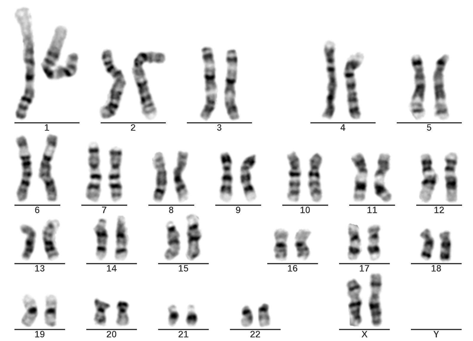
| Has the cell line karyotype been analysed? |
Yes
46,XX
|
Other Genotyping (Cell Line) |
|

Login to share your feedback, experiences or results with the research community.