dPRO
The cell line is not validated yet.
UCSFi001-A-1O
General
Cell Line |
|
| hPSCreg name | UCSFi001-A-1O |
| Cite as: | UCSFi001-A-1O |
| Alternative name(s) |
dPRO
|
| Cell line type | Human induced pluripotent stem cell (hiPSC) |
| Similar lines |
UCSFi001-A (wtc11, Wtc11, WTC, WTC11, GM25256) UCSFi001-A-74 (FUS-P525L HET 2D1) UCSFi001-A-75 (FUS-P525L HOM 2D2) UCSFi001-A-63 (AICS-0082-001) UCSFi001-A-40 (AICS-094-024) UCSFi001-A-41 (AICS-0034-062) UCSFi001-A-89 (AICS-0097-102) UCSFi001-A-90 (AICS-0097-141) UCSFi001-A-91 (AICS-0097-157) UCSFi001-A-55 (AICS-0078-079) UCSFi001-A-92 (AICS-0097-113) UCSFi001-A-56 (AICS-0088-083) UCSFi001-A-93 (AICS-0097-174) UCSFi001-A-57 (AICS-0099-020) UCSFi001-A-94 (AICS-0104-003) UCSFi001-A-95 (AICS-0104-085) UCSFi001-A-96 (AICS-0104-004) UCSFi001-A-97 (AICS-0104-006) UCSFi001-A-98 (AICS-0105-022) UCSFi001-A-99 (AICS-0105-030) UCSFi001-A-A (AICS-0105-031) UCSFi001-A-B (AICS-0105-032) UCSFi001-A-C (AICS-0105-057) UCSFi001-A-D (AICS-0105-089) UCSFi001-A-E (AICS-0106-040) UCSFi001-A-F (AICS-0106-088) UCSFi001-A-G (AICS-0106-104) UCSFi001-A-H (AICS-0106-134) UCSFi001-A-I (AICS-0107-009) UCSFi001-A-64 (P633L RBM20 iPSCs) UCSFi001-A-J (AICS-0107-017) UCSFi001-A-1M (iN-SRCAP-R2444-3) UCSFi001-A-79 (MSE2336A, WTC11-AAVS1-GCamp6s C1) UCSFi001-A-K (AICS-0107-063) UCSFi001-A-1N (iN-SRCAP-R2444-5) UCSFi001-A-L (AICS-0109-055) UCSFi001-A-M (AICS-0109-056) UCSFi001-A-N (AICS-0109-072) UCSFi001-A-O (AICS-0109-093) UCSFi001-A-1P (dLAMA) UCSFi001-A-46 (AICS-0095-018) UCSFi001-A-P (AICS-0113-002) UCSFi001-A-1Q (dGFP) UCSFi001-A-47 (AICS-0096-074) UCSFi001-A-Q (AICS-0113-023) UCSFi001-A-48 (AICS-0093-025) UCSFi001-A-R (AICS-0113-030) UCSFi001-A-82 (WTC11-SLC12A3) |
| Last update | 3rd February 2026 |
| User feedback | |
Provider |
|
| Generator | The University of Queensland (UQ) |
External Databases |
|
| BioSamples | SAMEA120965756 |
General Information |
|
| * Is the cell line readily obtainable for third parties? |
Yes Research use: allowed
Clinical use: not allowed
Commercial use: not allowed
|
| Subclone of | |
Donor Information
General Donor Information |
|
| Sex | male |
| Ethnicity | Asian |
Phenotype and Disease related information (Donor) |
|
| Diseases | No disease was diagnosed.
|
| Family history | N/A |
| Is the medical history available upon request? | No |
| Is clinical information available? | Limited clinical information - EKG |
Other Genotyping (Donor) |
|
| Is there genome-wide genotyping or functional data available? |
No
|
Donor Relations |
|
| Other cell lines of this donor | |
External Databases (Donor) |
|
| BioSamples | SAMEA5843920 |
Ethics
Also have a look at the ethics information for the parental line
UCSFi001-A
.
| Is there an MTA available for the cell line? | No |
| For generation of the cell line, who was the supplier of any recombined DNA vectors or commercial kits used? | |
| Are you aware of any constraints on the use or distribution of the cell line from the owner or any parties identified in the query above? | No |
hIPSC Derivation
General |
|
|
The source cell information can be found in the parental cell line
UCSFi001-A.
|
|
Reprogramming method |
|
Vector free reprogramming |
|
Other |
|
| Derived under xeno-free conditions |
Unknown |
| Derived under GMP? |
Unknown |
| Available as clinical grade? |
Unknown |
Culture Conditions
| Surface coating | Matrigel/Geltrex |
| Feeder cells |
No |
| Passage method |
Enzyme-free cell dissociation
ReLeSR
|
| O2 Concentration | 20 % |
| CO2 Concentration | 5 % |
| Medium |
mTeSR™ Plus
|
| Has Rock inhibitor (Y27632) been used at passage previously with this cell line? | No |
| Has Rock inhibitor (Y27632) been used at cryo previously with this cell line? | No |
| Has Rock inhibitor (Y27632) been used at thaw previously with this cell line? | Yes |
Characterisation
Analysis of Undifferentiated Cells
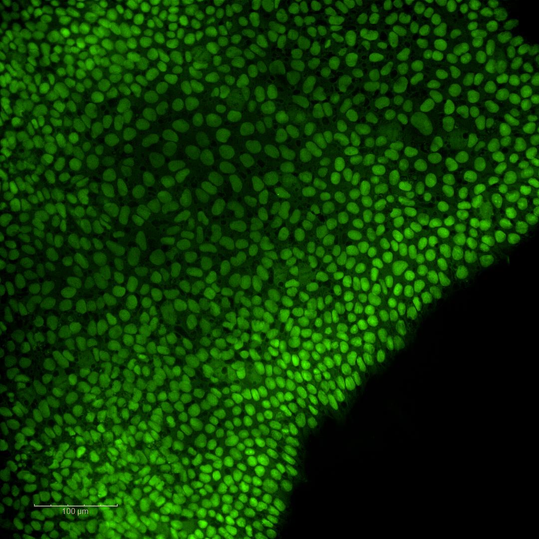
| Marker | Expressed | Immunostaining | RT-PCR | Flow Cytometry | Enzymatic Assay | Expression Profiles |
| SOX2 |
Yes |
|||||
| POU5F1 (OCT-4) |
Yes |
Differentiation Potency
In vitro directed differentiation
Genotyping
Karyotyping (Cell Line) |
|
| Has the cell line karyotype been analysed? |
Yes
46,XY
Karyotyping method:
Array CGH
|
Other Genotyping (Cell Line) |
|
Genetic Modification
| Genetic modifications not related to a disease |
|


Login to share your feedback, experiences or results with the research community.