IPB-HD-002
The cell line is not validated yet.
IPBi002-A
General
Cell Line |
|
| hPSCreg name | IPBi002-A |
| Cite as: | IPBi002-A |
| Alternative name(s) |
IPB-HD-002
|
| Cell line type | Human induced pluripotent stem cell (hiPSC) |
| Similar lines |
RCi004-A-1 (RCi004-A + HTT GC #H34-32_T34-23) Donor's gene variants: HTT Donor diseases: Huntington disease |
| Last update | 9th December 2025 |
| User feedback | |
Provider |
|
| Generator |
iPSBIO (IPB)
Contact:
iPSBIO (IPB) |
| Owner | iPSBIO (IPB) |
| Distributors | |
| Derivation country | South Korea |
External Databases |
|
| BioSamples | SAMEA115903526 |
General Information |
|
| Publications | |
| * Is the cell line readily obtainable for third parties? |
Yes Research use: allowed
Clinical use: not allowed
Commercial use: not allowed
Additional restrictions:
The use of the cell line requires the prior written approval of iPS Bio, Inc., as well as the formal execution of a Material Transfer Agreement (MTA) between iPS Bio, Inc. and the Recipient Institution. |
Donor Information
General Donor Information |
|
| Sex | female |
| Ethnicity | Korean |
Phenotype and Disease related information (Donor) |
|
| Diseases | A disease was diagnosed.
|
External Databases (Donor) |
|
| BioSamples | SAMEA115903527 |
Ethics
| Has informed consent been obtained from the donor of the embryo/tissue from which the pluripotent stem cells have been derived? | Yes |
| Was the consent voluntarily given? | Yes |
| Has the donor been informed that participation will not directly influence their personal treatment? | Yes |
| Can you provide us with a copy of the Donor Information Sheet provided to the donor? | Yes |
| Do you (Depositor/Provider) hold the original Donor Consent Form? | No |
| If you do not hold the Donor Consent Form, do you know who does? | Yes |
| Please indicate whether the data associated with the donated material has been pseudonymised or anonymised. | pseudonymised |
| Does consent explicitly allow the derivation of pluripotent stem cells? | Yes |
| * Does consent expressly prevent the derivation of pluripotent stem cells? | No |
| * Does consent pertain to a specific research project? | No |
| Does consent prevent CELLS DERIVED FROM THE DONATED BIOSAMPLE from being made available to researchers anywhere in the world? | No |
| How may genetic information associated with the cell line be accessed? | Open Access |
| Will the donor expect to receive financial benefit, beyond reasonable expenses, in return for donating the biosample? | No |
| Has a favourable opinion been obtained from a research ethics committee, or other ethics review panel, in relation to the Research Protocol including the consent provisions? | Yes |
| Name of accrediting authority involved? | CHA Bundang Medical Center Institutional Review Board (for the collection of human derived materials), iPS Bio, Inc. Institutional Review Board (for the usage of the human-derived materials) |
| Approval number | CHAMCIRB 2025-03-049 (CHA Bundang Medical Center Institutional Review Board), AP-IPB-240424-002 (iPS Bio, Inc. Institutional Review Board) |
| For generation of the cell line, who was the supplier of any recombined DNA vectors or commercial kits used? |
hIPSC Derivation
General |
|
| Source cell type |
A peripheral blood cell with a single nucleus. This category includes lymphocytes and monocytes.
Synonyms
|
Reprogramming method |
|
| Vector type | Non-integrating |
| Vector | Sendai virus |
| Genes | |
| Is reprogramming vector detectable? |
No |
| Methods used |
PCR, RT-PCR
|
| Files and images showing reprogramming vector expressed or silenced | |
Vector free reprogramming |
|
Other |
|
| Derived under xeno-free conditions |
Unknown |
| Derived under GMP? |
Unknown |
| Available as clinical grade? |
Unknown |
Culture Conditions
| Surface coating | Laminin |
| Feeder cells |
No |
| Passage method |
Enzymatically
TrypLE
|
| O2 Concentration | 21 % |
| CO2 Concentration | 5 % |
| Medium |
Other medium:
Base medium: StemFit Basic04 Complete Type
Main protein source: Albumine Serum concentration: % |
| Has Rock inhibitor (Y27632) been used at passage previously with this cell line? | Yes |
| Has Rock inhibitor (Y27632) been used at cryo previously with this cell line? | No |
| Has Rock inhibitor (Y27632) been used at thaw previously with this cell line? | Yes |
Characterisation
Analysis of Undifferentiated Cells
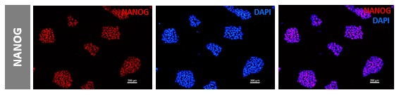
| Marker | Expressed | Immunostaining | RT-PCR | Flow Cytometry | Enzymatic Assay | Expression Profiles |
| Alkaline Phosphatase |
Yes |
|||||
| NANOG |
Yes |
|||||
| POU5F1 (OCT-4) |
Yes |
|||||
| SSEA-4 |
Yes |
|||||
| TRA 1-60 |
Yes |
|||||
| TRA 1-81 |
Yes |
Differentiation Potency
In vitro directed differentiation
| Marker | Expressed |
| FOXA2 |
Yes |
| SOX17 |
Yes |
In vitro directed differentiation
| Marker | Expressed |
| BRACHYURY |
Yes |
| PDGFRA |
Yes |
In vitro directed differentiation
| Marker | Expressed |
| NESTIN |
Yes |
| PAX6 |
Yes |
Genotyping
Karyotyping (Cell Line) |
|
| Has the cell line karyotype been analysed? |
Yes
|
Other Genotyping (Cell Line) |
|








Login to share your feedback, experiences or results with the research community.