IPB-HD-003
The cell line is not validated yet.
IPBi003-A
General
Cell Line |
|
| hPSCreg name | IPBi003-A |
| Cite as: | IPBi003-A |
| Alternative name(s) |
IPB-HD-003
|
| Cell line type | Human induced pluripotent stem cell (hiPSC) |
| Similar lines |
RCi004-A-1 (RCi004-A + HTT GC #H34-32_T34-23) Donor's gene variants: HTT Donor diseases: Huntington disease |
| Last update | 9th December 2025 |
| User feedback | |
Provider |
|
| Generator |
iPSBIO (IPB)
Contact:
iPSBIO (IPB) |
| Owner | iPSBIO (IPB) |
| Distributors | |
| Derivation country | South Korea |
External Databases |
|
| BioSamples | SAMEA120297587 |
General Information |
|
| Publications | |
| * Is the cell line readily obtainable for third parties? |
Yes Research use: allowed
Clinical use: not allowed
Commercial use: not allowed
Additional restrictions:
The use of the cell line requires the prior written approval of iPS Bio, Inc., as well as the formal execution of a Material Transfer Agreement (MTA) between iPS Bio, Inc. and the Recipient Institution. |
Donor Information
General Donor Information |
|
| Sex | female |
| Ethnicity | Korean |
Phenotype and Disease related information (Donor) |
|
| Diseases | A disease was diagnosed.
|
External Databases (Donor) |
|
| BioSamples | SAMEA120297606 |
Ethics
| Has informed consent been obtained from the donor of the embryo/tissue from which the pluripotent stem cells have been derived? | Yes |
| Was the consent voluntarily given? | Yes |
| Has the donor been informed that participation will not directly influence their personal treatment? | Yes |
| Can you provide us with a copy of the Donor Information Sheet provided to the donor? | Yes |
| Do you (Depositor/Provider) hold the original Donor Consent Form? | No |
| If you do not hold the Donor Consent Form, do you know who does? | Yes |
| Please indicate whether the data associated with the donated material has been pseudonymised or anonymised. | pseudonymised |
| Does consent explicitly allow the derivation of pluripotent stem cells? | Yes |
| * Does consent expressly prevent the derivation of pluripotent stem cells? | No |
| * Does consent pertain to a specific research project? | No |
| Does consent prevent CELLS DERIVED FROM THE DONATED BIOSAMPLE from being made available to researchers anywhere in the world? | No |
| How may genetic information associated with the cell line be accessed? | Open Access |
| Will the donor expect to receive financial benefit, beyond reasonable expenses, in return for donating the biosample? | No |
| Has a favourable opinion been obtained from a research ethics committee, or other ethics review panel, in relation to the Research Protocol including the consent provisions? | Yes |
| Name of accrediting authority involved? | CHA Bundang Medical Center Institutional Review Board (for the collection of human derived materials), iPS Bio, Inc. Institutional Review Board (for the usage of the human-derived materials) |
| Approval number | CHAMCIRB 2025-03-049 (CHA Bundang Medical Center Institutional Review Board), AP-IPB-240424-002 (iPS Bio, Inc. Institutional Review Board) |
| For generation of the cell line, who was the supplier of any recombined DNA vectors or commercial kits used? |
hIPSC Derivation
General |
|
| Source cell type |
A peripheral blood cell with a single nucleus. This category includes lymphocytes and monocytes.
Synonyms
|
| Source cell origin |
A liquid tissue; its major function is to transport oxygen throughout the body. It also supplies the tissues with nutrients, removes waste products, and contains various components of the immune system defending the body against infection. Several hormones also travel in the blood.
Synonyms
|
Reprogramming method |
|
| Vector type | Non-integrating |
| Vector | Sendai virus |
| Genes | |
| Is reprogramming vector detectable? |
No |
| Methods used |
PCR, RT-PCR
|
| Files and images showing reprogramming vector expressed or silenced | |
Vector free reprogramming |
|
Other |
|
| Derived under xeno-free conditions |
Unknown |
| Derived under GMP? |
Unknown |
| Available as clinical grade? |
Unknown |
Culture Conditions
| Surface coating | Laminin |
| Feeder cells |
No |
| Passage method |
Enzymatically
TrypLE
|
| O2 Concentration | 21 % |
| CO2 Concentration | 5 % |
| Medium |
Other medium:
Base medium: StemFit Basic04 Complete Type
Main protein source: Albumine Serum concentration: % |
| Has Rock inhibitor (Y27632) been used at passage previously with this cell line? | Yes |
| Has Rock inhibitor (Y27632) been used at cryo previously with this cell line? | No |
| Has Rock inhibitor (Y27632) been used at thaw previously with this cell line? | Yes |
Characterisation
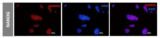
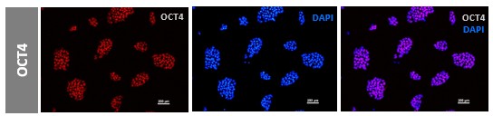
Analysis of Undifferentiated Cells
| Marker | Expressed | Immunostaining | RT-PCR | Flow Cytometry | Enzymatic Assay | Expression Profiles |
| Alkaline phosphatase |
Yes |
|||||
| NANOG |
Yes |
|||||
| SSEA-4 |
Yes |
|||||
| POU5F1 (OCT-4) |
Yes |
|||||
| TRA 1-60 |
Yes |
|||||
| TRA 1-81 |
Yes |
Differentiation Potency
In vitro directed differentiation
| Marker | Expressed |
| FOXA2 |
Yes |
| SOX17 |
Yes |
In vitro directed differentiation
| Marker | Expressed |
| BRACHYURY |
Yes |
| PDGFRA |
Yes |
Genotyping
Karyotyping (Cell Line) |
|
| Has the cell line karyotype been analysed? |
Yes
|
Other Genotyping (Cell Line) |
|








Login to share your feedback, experiences or results with the research community.