NCS065
The cell line is not validated yet.
NCSi001-A
General
Cell Line |
|
| hPSCreg name | NCSi001-A |
| Cite as: | NCSi001-A |
| Alternative name(s) |
NCS065
|
| Cell line type | Human induced pluripotent stem cell (hiPSC) |
| Similar lines | No similar lines found. |
| Last update | 25th November 2025 |
| User feedback | |
Provider |
|
| Generator | Norwegian Center for Stem Cell Research (NCS) |
| Derivation country | Norway |
External Databases |
|
| BioSamples | SAMEA120569010 |
General Information |
|
| * Is the cell line readily obtainable for third parties? |
No |
Donor Information
General Donor Information |
|
| Sex | female |
| Ethnicity | European |
Phenotype and Disease related information (Donor) |
|
| Diseases | A disease was diagnosed.
|
| Family history | Mother had cognitive impairment after 65 years of age |
| Is clinical information available? | Yes |
Karyotyping (Donor) |
|
| Has the donor karyotype been analysed? |
No
|
Other Genotyping (Donor) |
|
| Is there genome-wide genotyping or functional data available? |
Yes
|
External Databases (Donor) |
|
| BioSamples | SAMEA120569011 |
Ethics
| Has informed consent been obtained from the donor of the embryo/tissue from which the pluripotent stem cells have been derived? | Yes |
| Was the consent voluntarily given? | Yes |
| Has the donor been informed that participation will not directly influence their personal treatment? | Yes |
| Can you provide us with a copy of the Donor Information Sheet provided to the donor? | No |
| Do you (Depositor/Provider) hold the original Donor Consent Form? | Yes |
| Alternatives to consent are available? | No |
| Is there other documentation provided to the donor for consenting purposes? | No |
| Confirm that consent was obtained by a qualified professional | Yes |
| Has the donor agreed to be re-contacted? | Yes |
| Has the donor been informed about how her/his data will be protected? | Yes |
| Please indicate whether the data associated with the donated material has been pseudonymised or anonymised. | pseudonymised |
| Does consent explicitly allow the derivation of pluripotent stem cells? | Yes |
| * Does consent expressly prevent the derivation of pluripotent stem cells? | No |
| * Does consent pertain to a specific research project? | Yes |
| Details on restriction to research project | Dementia Disease Initiation (DDI) |
| Does consent permit unforeseen future research, without further consent? | Yes |
| Does the consent permit uses of donated embryo/tissue or derived cell line intended for clinical treatment or human applications? | No |
| Does consent expressly prevent development of commercial products? | Yes |
| Does consent expressly prevent financial gain from any use of the donated embryo/tissue, including any product made from it? | Yes |
| Does consent expressly permit storage of donated embryo/tissue for an unlimited time? | No |
| Does consent expressly permit storage of cells derived from the donated embryo/tissue for an unlimited time? | No |
| Does consent prevent the DONATED BIOSAMPLE from being made available to researchers anywhere in the world? | No |
| Does consent prevent CELLS DERIVED FROM THE DONATED BIOSAMPLE from being made available to researchers anywhere in the world? | No |
Does consent permit research by | |
| an academic institution? | Yes |
| a public organisation? | Yes |
| a non-profit company? | Yes |
| a for-profit corporation? | No |
| Does consent expressly permit collection of genetic information? | Yes |
| Does consent expressly permit storage of genetic information? | Yes |
| Does consent prevent dissemination of genetic information? | No |
| Has the donor been informed that their donated biosample or derived cells may be tested for the presence of microbiological agents / pathogens? | No |
| Has the donor consented to receive information discovered during use of donated embryo/tissue that has significant health implications for the donor? | No |
| How may genetic information associated with the cell line be accessed? | Controlled Access |
| Will the donor expect to receive financial benefit, beyond reasonable expenses, in return for donating the biosample? | No |
| Does the consent anticipate that the donor will be notified of results or outcomes of any research involving the donated samples or derived cells? | No |
| Does the consent permit the donor, upon withdrawal of consent, to stop the use of the derived cell line(s) that have already been created from donated samples? | Yes |
| Does the consent permit the donor, upon withdrawal of consent, to stop delivery or use of information and data about the donor? | Yes |
| Does consent permit access to medical records of the donor? | No |
| Does consent permit access to any other source of information about the clinical treatment or health of the donor? | Yes |
| Contact data, institution, or website: | Through the DDI study |
| Has a favourable opinion been obtained from a research ethics committee, or other ethics review panel, in relation to the Research Protocol including the consent provisions? | Yes |
| Name of accrediting authority involved? | South-Eastern Norway Regional Ethical Committee |
| Approval number | #2013/150 |
| Has a favourable opinion been obtained from a research ethics committee, or other ethics review panel, in relation to the PROPOSED PROJECT, involving use of donated embryo/tissue or derived cells? | Yes |
| Name of accrediting authority involved? | South-Eastern Norway Regional Ethical Committee |
| Approval number | #2013/150 |
| Do you have obligations to third parties in regard to the use of the cell line? | Yes |
| Please describe: | Patient consent form allow research collaboration, not free distribution. The intellectual property rights is kept by the iPSC line owner. |
| Is there an MTA available for the cell line? | No |
| For generation of the cell line, who was the supplier of any recombined DNA vectors or commercial kits used? | |
| Are you aware of any constraints on the use or distribution of the cell line from the owner or any parties identified in the query above? | Yes |
| Constraints for use or distribution | Through research collaboration only |
hIPSC Derivation
General |
|
| Source cell type | |
| Source cell origin |
A human upper limb; especially: the part between the shoulder and the wrist.
|
| Passage number reprogrammed | 4 |
Reprogramming method |
|
| Vector type | Non-integrating |
| Vector | Sendai virus |
| Genes | |
| Is reprogramming vector detectable? |
No |
| Methods used |
RT-PCR
|
Vector free reprogramming |
|
Other |
|
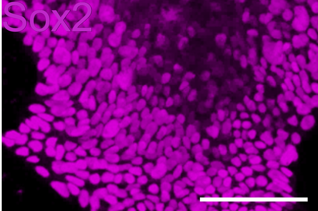
| Selection criteria for clones | Morphology (p1-2) and marker expression of SOX2, NANOG and OCT4 (p10), in addition to morphology. |
| Derived under xeno-free conditions |
Yes |
| Derived under GMP? |
No |
| Available as clinical grade? |
No |
Culture Conditions
| Surface coating | Matrigel/Geltrex | ||||||
| Feeder cells |
No |
||||||
| Passage method |
Enzyme-free cell dissociation
EDTA
|
||||||
| O2 Concentration | 21 % | ||||||
| CO2 Concentration | 5 % | ||||||
| Medium |
Essential 8™
Supplements
|
||||||
| Has Rock inhibitor (Y27632) been used at passage previously with this cell line? | No |
||||||
| Has Rock inhibitor (Y27632) been used at cryo previously with this cell line? | No |
||||||
| Has Rock inhibitor (Y27632) been used at thaw previously with this cell line? | No |
Characterisation
Analysis of Undifferentiated Cells
| Marker | Present | Absent |
| mCpG | ||
| OCT4 |
Differentiation Potency
Microbiology / Virus Screening |
|
| Mycoplasma | Negative |
Genotyping
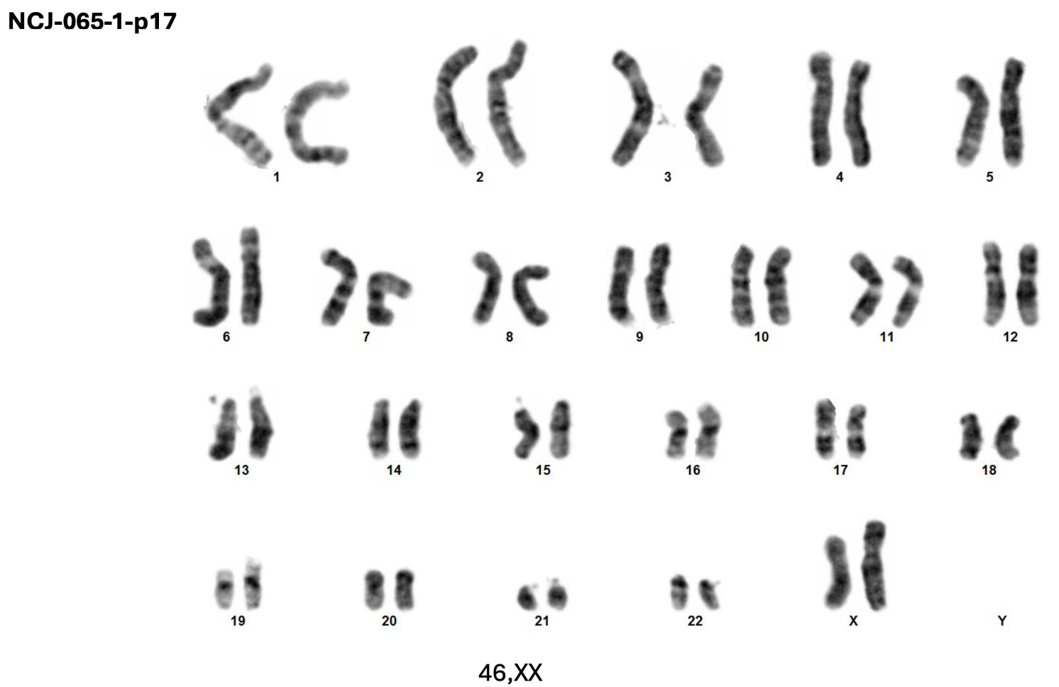
Karyotyping (Cell Line) |
|
| Has the cell line karyotype been analysed? |
Yes
|
Other Genotyping (Cell Line) |
|
| Is there genome-wide genotyping or functional data available? |
Yes
|





Login to share your feedback, experiences or results with the research community.